Etheridge Complete Dentistry is now Terrace Family Dentistry!

Teeth Whitening

FAQ


How long does teeth whitening last?
Results vary based on your oral care and lifestyle, but with proper maintenance, including avoiding staining foods and using whitening toothpaste, professional teeth whitening can last for months or even years.
Is professional teeth whitening better than over-the-counter options?
Yes, professional whitening—especially custom take-home trays or in-office treatments—provides more consistent, longer-lasting, and often faster results compared to over-the-counter products like whitening strips or toothpaste.
What are the different types of teeth whitening?
Teeth whitening options include whitening toothpaste for daily stain removal, over-the-counter whitening strips such as Crest Whitestrips, professional take-home whitening trays custom-made by your dentist, and in-office whitening treatments for immediate results under professional supervision.

What Is Teeth Whitening?

Teeth whitening is a widely used cosmetic dental procedure that removes stains and discoloration to brighten teeth. Despite good oral hygiene and regular dental care, teeth naturally darken with age. Millions of Americans choose teeth whitening treatments to restore and maintain a vibrant, white smile.

Teeth whitening can reduce or eliminate the discolorations from common sources:

Food and drink – There is no question that what we put into our mouths affects the color of the teeth. In addition to avoiding dark-colored substances, you should also consider the pH of your diet. By avoiding acidic foods and drinks, you will preserve the thickness of your enamel, which helps you maintain a whiter appearance of the teeth.

Tobacco – The dark particles in all types of tobacco collect as external stains on the teeth. In particular, smoking has a drying effect on the inside of the mouth. This dryness worsens the staining ability of tobacco because it makes adherence to the enamel easier. (Imagine the stickiness of a dry mouth attracting stains on the teeth.)

Age – Aging is one culprit we cannot prevent, but we can attempt to fight the natural yellowing inside the tooth by working to protect our enamel on the outside. Avoiding acidic diets, treating any acid reflux issues, and consistently using fluoride oral care products helps you strengthen your enamel.

Medications – Medications can affect the color of teeth during their formation. This means that pregnant mothers and young children should not take certain medications like Tetracycline and other antibiotics shown to affect tooth formation. The dark colors incorporated during the tooth’s development create intrinsic staining. Prescription mouthrinses containing the antibiotic Chlorhexidine can also lead to external stains on the teeth.

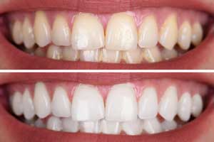
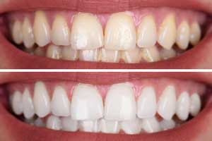
Comparison image of teeth before and after teeth whitening

What Are the Different Types of Teeth Whitening?

Whitening Toothpaste

Whitening toothpastes contain mild abrasive particles that provide a very fine sandpaper effect, gently scrubbing away the surface stains that collect each day. They do not change the actual color of the underlying tooth, but by removing dark particles on the exterior, whitening toothpastes can give the appearance of whiter teeth. These toothpastes are also wonderful for maintaining a white smile after you perform true teeth whitening.

Over-the-Counter Whitening Strips

Many over-the-counter whitening products contain the right active ingredient and produce noticeable changes. The type of product that consistently performs the best is whitening strips. The strips contain an embedded whitening gel that easily sticks to the teeth for the prescribed amount of time. Crest Whitestrips are the brand with the highest name recognition because they have been around the longest, however several other brands make whitening strips with great results.

Professional Take-Home Whitening Trays

In order to achieve the best success in teeth whitening, you should always work with your dentist. Dentists consider professional take-home whitening in custom-fitted trays to be the “gold standard”. By making the trays from a replica of your teeth, the custom fit holds whitening gel in the perfect position for optimal results. The custom trays will last for many years, allowing you to simply purchase the whitening gel as needed for maintenance.

Patients love take-home whitening because it puts them in control of their results. It is also the best option for patients with special considerations, like tooth sensitivity.

In-Office Whitening Systems

For those who need the fastest whitening results, a professional in-office treatment is the right choice. In-office teeth whitening systems use a high strength whitening gel to produce visible color change in about an hour. This is a wonderful option for anyone with a special event less than a week away, or may not have time for home treatments to take effect.

These systems vary in the strength of their active ingredients and the additional use of lights or lasers. Because the active ingredient is so strong in in-office systems, a dental professional must apply a protective barrier over the gum tissues and monitor the entire process. Lights and lasers may produce an accelerated whitening effect by heating and/or activating the system’s particular gel.

For more information on teeth whitening, read our blog on What You Need to Know About Teeth Whitening.

Our team has delivered outstanding dental care in Raytown for over 15 years. We are committed to providing our community with safe, gentle, high-quality dental care.

Questions or Concerns?

Should you have any questions or concerns regarding your dental care, we are more than happy to discuss how you can achieve a beautiful and healthy smile.

As a top dentist in Raytown, we have helped hundreds of families achieve their oral health goals and are eager to help you and your family do the same.